Invislign provider Smilefast in Wimbledon
Invisalign clear braces in Wimbledon

Your new smile with Invisalign Logo at The Wimbledon Dentist

If you need a trusted and highly experienced Invisalign dentist in Wimbledon, then our friendly and expert team at The Wimbledon Dentist can help.

Benefit from the expertise of Dr Alexia and Dr Amro, who has just been awarded Diamond Invisalign provider status.

Why our patients love us:

Sheideh Zarbalian

Dr Sheideh Zarbalian

Alexia Papakonstantinou

Dr Alexia Papakonstantinou

Dr Amro Ismail

Dr Amro Ismail

Dr Aoife Boland Sheideh Zarbalian Alexia Papakonstantinou Dr Amro Ismail
Save over £800 with our Invisalign Package

Almost £1,000 savings with our Invisalign offer

  • ✔ FREE Consultation (worth £100)
  • ✔ FREE 3D Smile Simulation Scan (worth £125)
  • ✔ FREE Vivera Removeable Retainers (worth £250)
  • ✔ FREE Professional Teeth Whitening (worth £420)
  • ✔ Finance available from £3.08 per day

Invisalign results in Wimbledon

Huz Before Invisalign treatment in Wimbledon
Huz After Invisalign treatment in Wimbledon

Invisalign used to repair crowding on the upper and lower teeth, followed by whitening & edge bonding

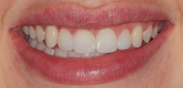
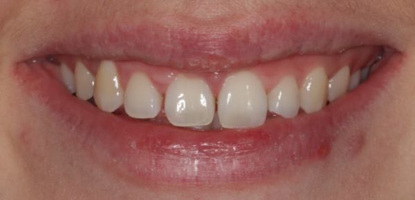
Hannah Before Invisalign treatment in Wimbledon
Hannah After Invisalign treatment in Wimbledon

Invisalign used to repair upper and lower crowding, followed by whitening & edge bonding

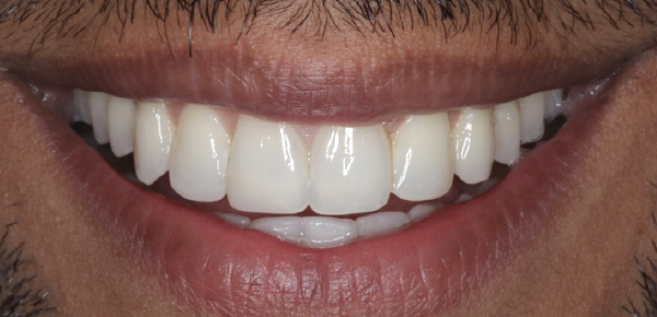
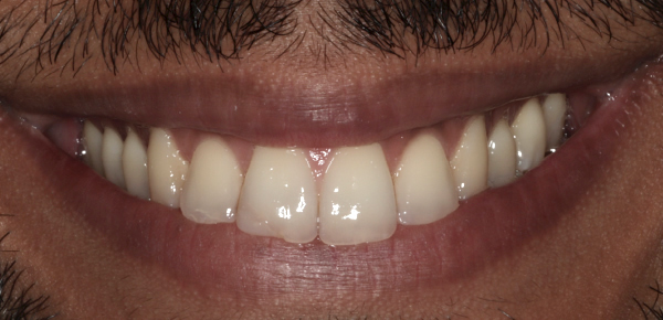
Tim Before Invisalign treatment in Wimbledon
Tim After Invisalign treatment in Wimbledon

Invisalign used to repair crowding on the upper and lower teeth, followed by whitening & edge bonding

Laura Before Invisalign treatment in Wimbledon
Laura After Invisalign treatment in Wimbledon

Invisalign used to repair upper spacing, followed by whitening & composite veneers

 

Ready to start your Invisalign journey?

Call 020 8544 0112 Email us Make an enquiry
diamond invisalign provider

Why choose us for your Invisalign treatment?

What is Invisalign?

Invisalign is the ground-breaking brace that’s responsible for straightening over 14 million smiles. When it launched in 2000, it turned orthodontics on its head and completely transformed the way we move teeth.

Gone are fixed brackets and wires. Instead, the Invisalign brace uses a series of removable aligners to gradually and gently move your teeth into the desired position. Better still, the aligners are completely transparent, so they’re really inconspicuous – even up close.

How much does Invisalign treatment in Wimbledon cost?

The cost of using Invisalign and tooth whitening to make your smile radiant will depend on how much work needs to be done to straighten them. But to find out, there is no cost to you if using our Special Offer - so give us a ring or drop us an email today to book your Free Consultation and cutting edge simulator Digital Scan with our experts and you can find out how much it will cost to make the journey start.

We are delighted that 4 of our talented clinicians are accredited to provide Invisalign clear braces at The Wimbledon Dentist

All our dentists are registered with the General Dental Council (GDC) and our practice is regulated and regularly monitored by the Care Quality Commission (CQC) so you can rest assured your in safe hands at The Wimbledon Dentist.

Sheideh Zarbalian

Dr Sheideh Zarbalian

Alexia Papakonstantinou

Dr Alexia Papakonstantinou

Dr Amro Ismail

Dr Amro Ismail

Our latest Invisalign reviews from Google Business

"I have been coming to the Wimbledon dentist practice since 2014. Dr Aoife was my dentist at the time who I found through reviews as I was having trouble finding a good dentist in London and I’m so glad I did find her! Not only is she a great dentist her personality also makes you not feel like you are not really at the dentist. I am also now doing Invisalign with Dr Sheideh who is equally just as amazing and lovely. I’m so happy with the results so far and can’t wait for the end results. The Wimbledon dentist is great for quality service and just really lovely staff all round including the hygienists, dental nurses and receptionists and manager who actually care about their patients. I would highly recommend the Wimbledon dentist if you’re looking for a pain free and just overall great experience at the dentist."

Haleema Ghani

 

"Dr Sheideh, Sophie and the reception team are fantastic. Their Invisalign and composite bonding treatment have helped me get the healthy looking teeth I've always wanted. I've been at the surgery for years despite moving a few times and having to travel across London for my appointments!"

Felicity Garner

Ready to start your Invisalign journey?

Call 020 8544 0112 Email us Make an enquiry

How does Invisalign work?

Each aligner should be worn for one to two weeks, before you move onto the next one in the series: gradually moving your teeth little-by-little until they reach their final position. Along the way we’ll keep a close eye on your progress to make sure everything is moving correctly and in the right direction.

For the best results it’s important to wear your aligners for between 20 and 22 hours a day – just take them out for eating, drinking and to brush and floss your teeth. Luckily for you, this means you can continue to enjoy all your favourite foods throughout your treatment, as well as keep on top of your oral hygiene routine: ensuring a healthy, beautiful end result.

Types of Invisalign we provide

At The Wimbledon Dentist we are offering 2 different types of Invisalign braces: Invisalign Full and Invisalign Lite.

Invisalign at The Wimbledon Dentist

The original brace has transformed over 14 million smiles, we recommend this for moderate to complex cases

Invisalign Lite at The Wimbledon Dentist

Invisalign Lite works in the same way as Invisalign but uses fewer aligners making it ideal for simpler cases

Ready to start your Invisalign journey?

Call 020 8544 0112 Email us Make an enquiry